|
| セラミッククラウン、インレー |
|
クリーニングや漂白で改善しきれない場合、すでに差し歯が入っていて変色、破折している場合、セラミックでの審美修復はいかがでしょうか?
現在世界的に歯科の世界では、健康のためにお口の中をノンメタル“金属を無くす治療”にしていく傾向にあります。
セラミッククラウンは天然の歯に近い色調が得られやすく、変色がおきにくい材質です。 |
 |
|
| ハイブリッドセラミッククラウン、インレー |
|
セラミックに硬質レジンを加えた、ハイブリッド型(混合型)の材料を使います。
硬さが硬すぎず、保険のレジンより強度的にも審美的にもすぐれています。
色調がセラミックに劣ります。 いずれを選ばれるにせよ、どの方法があなたに最適か、十分時間をお取りしてカウンセリングを行います。その際にあなたのご希望をよくお聞きし、どの方法が適しているのかを一緒に考えます。
そして、費用や注意点等をご説明します。ご不明な点、心配な事、何でもご相談ください。
そうして治療の方法が決まったら、その後処置、治療に入ります。 |
 |
|
| オールセラミックによる修復 |
|
 |
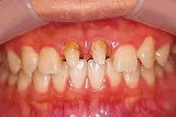
20歳代の女性。
前歯の変色を主訴として来院。 |
 |
|
 |
セラミックの透明性ゆえに下地が透けないように、また金属アレルギー防止と金属イオンの溶出による歯ぐきの黒ずみ防止、さらには根っこの破折を予防する目的で、白いファイバーコアによる土台にしました。 |
 |
|
 |
オールセラミック(エンプレス)を装着 |
|
|
| 保険の前歯の特徴 |
|
保険の前歯のかぶせもの。これは「硬質レジン前装冠」といい、簡単に説明すると固いプラスチックを金属の上にかぶせているということです。これは表面がプラスチックという性質上、平均的に2~3年程度で変色してしまいます。
保険適用の前歯の場合、変色はしていなくてもプラスチックですので、天然の歯の色・ツヤ・透明感などを出そうと思ってもそれを出すことができないのが現状です。
なので、変色していなくても、「あっ、他の歯と違うな」と違和感を感じてしまいます。
またプラスチックなので、変色だけではなく水分を吸収して口臭の原因となることもあります。 |
|