 |
県外からお引っ越しされて来た患者様ですが、前医からの紹介状にて事故で折れた歯牙のエキストル―ジョン(廷出)と根管治療のご依頼でした。
折れた歯を矯正的に引き出すのですが、その後は当然「差し歯」を入れますので、根管治療(根の治療)もしっかりしなくちゃ! |
 |
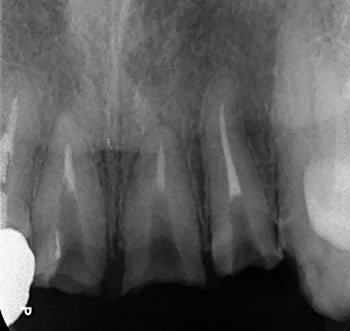
折れた歯牙が歯肉縁下におよぶので、保存するには厳しい状況、、、3本ありますので、まずは真ん中1本の根管治療をして |
 |
引き出すためのフックを装着しました。
1眼レフではなくて、簡易的な口腔内カメラだけに画像が粗い!
汗!
|
 |
仮歯にも固定出来るワイヤーを埋め込み、、、 |
 |
矯正用のパワースレッドで縛ります~! |
 |
だいぶ伸びてきました!!!
これはやり過ぎると歯根自体が短くなりますので、
ほどほどに、、、
|
 |
とりあえずファイバーポストを入れて、この歯は完了です!
|
 |
今度はもう一つ隣の歯の根管治療を行い、、、
仮歯は必要でし、固定源もいるので地道に1本ずつの作業、、、 |
 |
これにフックを付けて引き出します~!
まだまだつづく、、、
何でこんな事をするの???と疑問に思われるかもですが、
骨に生えている歯根には歯肉が結合するだけの「のりしろ」が必要なのです!
歯肉の上皮と結合組織で最低限2mm以上必要です!
骨の近く(歯肉のなかまで)まで折れてしまった歯牙には、おそらくこの「のりしろ」になるだけの根面が無いのです!
そこで骨の中から新鮮な根を引き上げて使おうという作戦です!
まさに根こそぎ引き出す作戦です!!! |
|
|
|
|
|
|