|
|
| e.MAX冠 で自然な仕上がり! |
|
 |
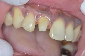
僕のお友達なのですが、事故で前歯がポッキリと折れてしまい、、、
「歯抜けになったので何とかして~!」との事で、、、
すでに露髄していたので根管治療して、ファイバーコアが装着されてます! |
 |
見事にパックリと折れてしまい、、、かわいそうです、、、
お隣の歯も歯先が欠けて、動いていたので固定中です! |
 |
e.MAX冠は光を透過できる強化ガラスセラミックで審美性に優れています。
いつも依頼している福岡のギコウさんに写真を送って色合わせを頼みましたのでかなり自然な仕上がりになりました!
いつも感謝です! |
|
|
|
|
|
|
|
 |
 |
|
|
|