 |
最近ですが「保険治療」で歯周組織再生療法のリグロスが認可されました。
今までは歯周組織再生療法剤としてはエムドゲインという製品がありまして、歯周病で失われた歯槽骨の再生治療を行っていましたが、歯周外科手術も含め保険適応外で全てが「自費治療」で高額でした。 |
 |
歯槽骨の欠損状態により再生出来やすい場合と、そうでない場合もあり、確実性と言われると絶対に再生出来るとも言い切れないところがあり、治療費を考えると全ての患者様にお勧め出来るものではなかったように思います。
製品は最近流行りのシリンジで2液を混和させるタイプで、、、 |
 |
ポンピングを繰り返すと準備万端です!
簡単で使いやすいですね!
神原歯科医院でもリグロスの保険治療は始めたばかりで、再生された結果が出るのには1年位は経過せねばですが、、、メーカーのカタログを見ると従来のエムドゲインよりも効果が高いと記載されているので、期待しています!
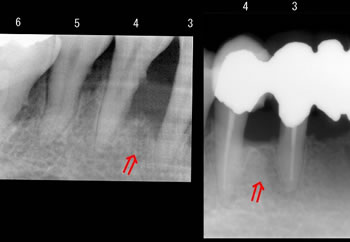
下の症例はリグロスではなくて、当院でのエムドゲイン再生療法の患者様です! |
 |
かなり重度の歯周病でグラグラでしたが、仮歯のブリッジで連結固定しまして、歯周外科療法によりエムドゲイン歯周組織再生療法を行いました。
お口の中の同じ部位で「左が初診時」で「右が再生治療後」のレントゲンです! |
 |
赤い矢印の部分が歯槽骨の再生した場所です。
(3は3番目の歯、4は4番目の歯です) |
 |
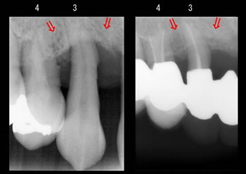
10年経過しておりますが、定期的にメンテナンスに来られており今でも歯肉の状態は安定しており問題ありません! |
 |
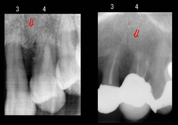
反対側の左です、、、
レントゲンの装置が変わっておりまして、、、
さらに最近も新しくなったので、同じ条件で撮影するのが難しいです!汗! |
 |
再生された骨の縁に白いライン(歯槽硬線)がありますよね!
重要!
左の方は骨の縁がモヤモヤっと虫に喰われてみたいにぼんやりしてますが、右の治療後は再生されたうえに歯槽硬線がハッキリ見え、かなり安定しています! |
 |
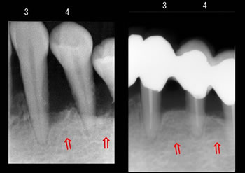
さすがに歯肉退縮はしかたがありませんが、歯肉に炎症もなくメンテナンスされており、今後もこの状態を維持していきたいと思います! |