 |
虫歯が大きくて「神経を取られた歯」は将来的に再感染しやすく、痛みが酷ければ「感染根管治療」という根の再治療をします。
この2本も以前に感染根管治療を行ったのですが・・・また痛い・・・
様子をみましょうで何度か投薬で消炎しておりましたが、、、 |
 |
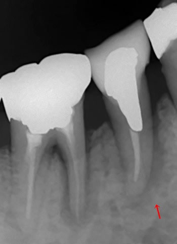
んんん、、、??? 赤い矢印ですが亀裂(クラック)かも???
根の治療が悪くて根尖病巣の場合は根の先に限局的ですが、亀裂を中心に根の周りの骨全体がぼんやりと黒くも見えますよね!!!
それともう一つ後ろの歯の前足も根の周りの骨が黒い!汗!
これもか???
とりあえずお痛みのある赤い矢印の方の歯は冠を外してみる事になりましたが、、、 |
 |
やはり歯根に亀裂(矢印の延長です)が見られますね、、、
そっと金属の土台を外しますと、、、 |
 |
やはり亀裂(赤い矢印)が根の先まで続いております!
レントゲンでの「亀裂みたい?」はやっぱり本当だったのですね!
真っ2つではありませんが、根の先まで亀裂(クラック)が入っていたのです!
歯の根が割れていると感染根管治療ではなく、
治療方法は抜歯に、、、 |
 |
こんな感じに真っ2つに割れる寸前だったのでした!
反対側の奥歯が1本欠損があり、かなり咬み合わせが強い患者様でして、もう一つ後ろの奥歯も根先の周りの骨が黒いのも気になり
ます、、、
これも亀裂がなければ良いのですが!汗!
| ① |
神経を取った歯は痛みが再発しやすく、再治療が必要となり
やすい |
| ② |
神経を取った歯はとても割れやすい |
| ③ |
割れた歯の治療方法は抜歯となる
(歯を抜くのが治療方法となる) |
|
|
|