 |
歯肉が腫れて膿(うみ)が出る原因は沢山ありますが、レントゲン撮影しても解り難い場合がいくつかあります。
歯周病が原因の腫れならば歯周ポケットに深い部分があれば探れば解りますし、根の先の炎症ならばレントゲンや咬合わせの痛みで診断出来ます。
それでも原因が解らない場合でよくあるのが??? |
 |
歯の 亀裂(クラック)や 破折(割れ)がよくあります!
健康な歯でも、咬む力が強ければ咬みしめて割れる場合もありますし、歯の根の治療(神経を取ってある歯)をしてあれば割れやすい歯になってます!
上の写真のように亀裂が全体におよぶ場合は歯肉から確認出来る事もありますが、小さな亀裂だとレントゲンにも写らないし??です!
1枚目のレントゲンの患者様も半年前に歯肉が腫れて原因が不明でお薬で消炎して様子をみてもらっていました、、、
お久しぶりに来院されまして、また腫れたそうですが、、、 |
 |
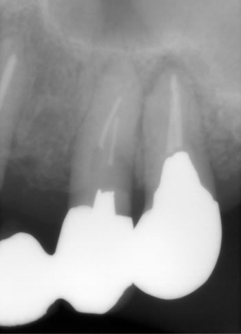
確認でもう一度レントゲンで撮影しますと、、、
なるほど割れている!!!
ここまで「真っ2つ」に割れているとレントゲンで解りやすいですよね!
おそらく想像ですが、半年前の腫れた時点で既に亀裂(クラック)はあったのでしょうが、レントゲンでも確認が難しかったのです。
亀裂は次第に大きくなり、割れとなり判明するのです! |
 |
これは別のケースの写真ですが、イメージ的にはこんな感じでした!
歯の根の治療(神経を取る)をすると、歯は割れやすくなる!
根の治療をした歯では硬いものは咬まないように注意する!
根の治療した歯はしみたりの痛みを感じ無くなり虫歯に気付き難くなる!
根の治療した歯があるならば歯の定期検診も必要になってきます! |
|
|
|
|