 |
今まで神原歯科医院では色んなタイプの歯科ホワイトニングを試しましたが
自分も含めてホワイトニングして、、、確かに白くはなるのですが、、、
「白くはなったけど??? この程度なのかなぁ???」
と明らかな「白さ」を実感出来るものが歯科薬品国産メーカーでは見当たらず、海外のホワイトニング剤は効果があると聞いてはいたのですが、薬事法的に?
と消極的になり、、、
正直なところ患者様にあまり勧めておりませんでした! |
 |
歯科ホワイトニングは保険外の自由診療ですし、費用に見合う効果という事を考えて自分でも満足がいかなかったのです!
大学の先輩の勧めで、海外もので「オパールエッセンス ブースト」は明らかに白くなるよ! と聞きまして、とりあえず自分で試す事に!笑!
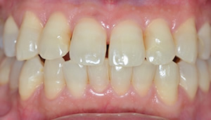
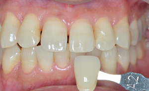
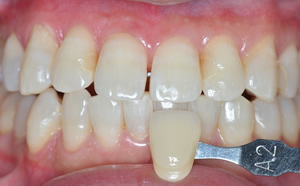
使用前の状態の写真撮影ですが、歯科のシェードで「A2」ぐらいです!
日本人の平均的な歯の色は黄色系で A2~A3 位が標準だと思います。
( A1 が白くて、A2、A3 と順に濃い色になっていく見本です) |
 |
薬事法の関係で日本では認可されていない
40%過酸化水素のオパールエッセンス ブースト 40%キットです!
歯科医院が個人輸入して患者に使用するのは法律的にも問題無いですが、薬監証明の申請などを自分で行い輸入するので手続きが面倒なのです!汗! |
 |
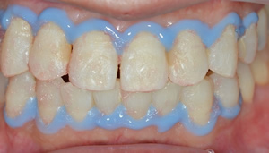
過酸化水素濃度が濃いので、歯肉保護のダムレジンはたっぷり塗り、、、
日本の某メーカーと同じようなシリンジで2つの薬品を混ぜて塗布します! |
 |
20分作用させて、専用シリンジで薬剤を吸い取り、、、
この時点で「白くなったね~!」と感じました!驚!
さらにもう1回ペーストを塗布して20分、、、 |
 |
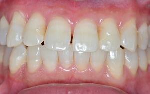
確かに白くなりましたね~!!! |
 |
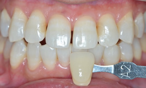
シェードと合わせると、、、もう A2 じゃないでしょう!
1日の通院で考えてみますと、あらかじめ歯の研磨清掃を終えているならば、歯肉保護のダムレジンを塗布してから20分ホワイトニングを2回するとして約1時間弱で、かなり白さを実感できるオフィスホワイトニングだと思います!
さらに欲深い僕は、、、もっと白くなるんじゃろ???
1週間後にさらに再ブーストを試してみました!!! |
 |
同じくブーストを20分で2回塗布しています! |
 |
ほぼシェードは A1 になりましたよね!嬉!
実際には光の加減もあり、写真では伝わらない白さもあるのです! |
 |
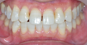
最初の A2 シェードをのせると「白くなった」のが解りますね!
もっと解りやすく時系列に並べると、、、 |
 |
明らかな白さが解って頂けると思います!!!
歯科のホワイトニングはオフィスタイプもホームタイプも髪の毛のカラーリングのように時間が経過すれば元に戻ります!
継続的に続ける事で白さを維持していく事になります! |